Анализы  ·  Гемограмма  ·  Диагностика  ·  ЭКГ  ·  ФКГ  ·  Сосуды
Скорая помощь  ·  Сердце  ·  Инсульт  ·  Инфаркт  ·  Гипертония  ·  Диабет  ·  Учёба
Кровообращение  ·  Фармакология  ·  Трансфузиология  ·  Цитология  ·  Шпаргалки

ГлавнаяМЕНЮЦитологияпатологии клеток

Клеточные патологии

Цитология
· Основы цитологии
· Модель кроветворения
· Бластные клетки
· Клетки эритроидного ряда
· Клетки миелоидного ряда
· Лимфоидные клетки
· Моноцитопоэз
· Клетки тромбоцитарного ряда
· Митоз
· Нормальные показатели крови
Патологии
· Изменение размеров эритроцитов
· Изменение формы эритроцитов
· Изменение окраски эритроцитов
· Включения в эритроцитах
· Острые лейкозы
· Хронические лейкозы
· Другие патологии
· Миелопролиферативные заболевания
Технологии
· Приготовление мазков крови
· Приготовление лейкоконцентрата
· Классические методы окраски мазков крови

Профили по чертежам заказчика заказать производство профиля по чертежам.

Другие патологии клеток


Плазматические клетки

Плазматические клетки - имеют происхождение от В-лимфоцитов, и состоят из плазмобласта, проплазмоцита, плазмоцита. Размеры плазмоцита колеблются в широких пределах. Ядро компактное, колесовидной структуры, чаще расположено эксцентрично. Цитоплазма значительно превосходит размер ядра, имеет интенсивно фиолетовую окраску, многие клетки содержат мелкие вакуоли. Причины:



Атипичные мононуклеары

Атипичные мононуклеары - своеобразные лимфоциты, имеющие некоторые морфологические черты моноцитов: форма клеток и ядра круглая или неправильная, цитоплазма широкая, с фиолетовым оттенком, светлой перинуклеарной зоной. Причина - инфекционный мононуклеоз.



Мегалобласты

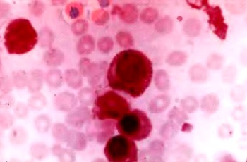
Мегалобласты по величине больше нормобластов, ядра долго сохраняются нежно-сетчатыми, без колесовидной структуры хроматина, часто отмечается причудливая форма ядра и наличие в цитоплазме телец Жолли. Причина - патологические состояния, характеризующиеся дефицитом витамина В12 и фолиевой кислоты. При этом клетки проходят последовательные этапы развития от промегалобласта до мегалоцита, как при нормальном эритропоэзе.



Дизэритропоэз

Дизэритропоэз наблюдается при тяжелых нарушениях костномозгового творения. Морфологические признаки:

цитоплазматические мостики

Цитоплазматические мостики



вакуолизация цитоплазмы

Вакуолизация цитоплазмы




 
В начало страницы

ВНИМАНИЕ! Информация, представленная сайте DIABET-GIPERTONIA.RU носит справочный характер. Администрация сайта не несет ответственности за возможные негативные последствия в случае приема каких-либо лекарств или процедур без назначения врача!

В начало страницы
Анализы  ·  Гемограмма  ·  Диагностика  ·  ЭКГ  ·  ФКГ  ·  Сосуды
Скорая помощь  ·  Сердце  ·  Инсульт  ·  Инфаркт  ·  Гипертония  ·  Диабет
Кровообращение  ·  Фармакология  ·  Трансфузиология  ·  Цитология  ·  Шпаргалки